クラウドベースAI画像解析プラットフォーム (CarbConnect:カーブコネクト)の製品情報(特徴・導入事例)
クラウドベースAI画像解析プラットフォーム (CarbConnect:カーブコネクト)とは
CarbConnect®(カーブコネクト)は、医療・研究画像の解析と共有をAIで支援するクラウドプラットフォーム。リアルタイム共有、遠隔診断、アプリ連携に対応。
CarbConnect®(カーブコネクト):医療・研究向け AI画像解析クラウドプラットフォーム
CarbConnect®(カーブコネクト)は、医療および研究画像の解析と共有を効率化するための最先端のAI駆動クラウドプラットフォームです。リアルタイムのデータ共有、AI画像解析アプリケーションとのシームレスな統合、共同作業のためのコミュニケーションツールを提供します。初期投資は不要で、スマートフォン、タブレット、PCからアクセス可能で、病院、クリニック、研究所などさまざまな環境において柔軟に利用できます。
主な特徴:
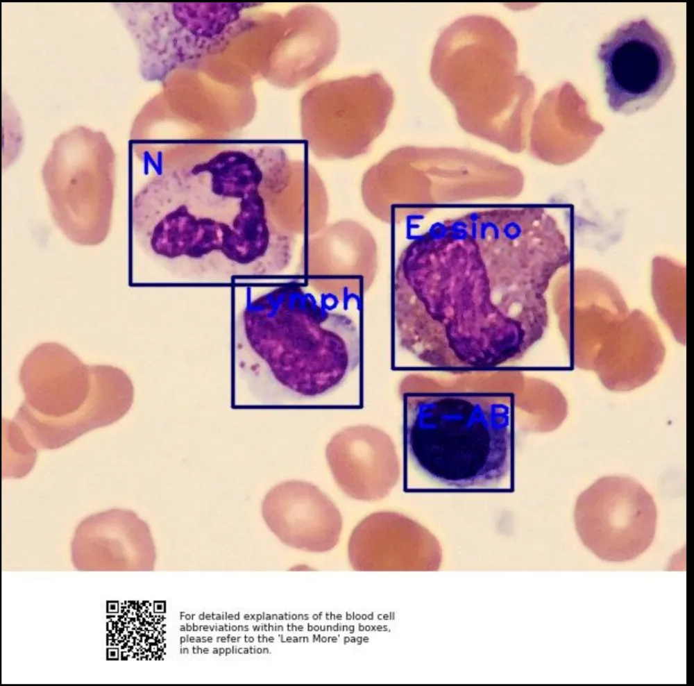
・AI/MLによる画像解析:医療および研究画像に特化し、さまざまな検査アプリケーションの自動解析を提供。
・リアルタイムデータ共有:画像やインサイトをチーム間で簡単に共有し、迅速な意思決定を支援。
・複数のアプリとの連携:社内開発およびサードパーティ製の画像解析アプリケーションをサポートし、柔軟性を提供。
・遠隔コラボレーション:遠隔地でも医療専門家や研究者とのコミュニケーションを容易に実現。
利用シーン:
・CarbConnect®(カーブコネクト)は、専門的な画像解析者が不在の施設に最適で、遠隔読影支援や専門家の相談を支援します。セキュアなクラウドベースのプラットフォームは、PC、スマートフォン、タブレットのデバイスと互換性があり、初期投資が不要で、利用量に応じた課金体系です。
・抗菌薬感受性試験や微生物研究など、さまざまなアプリケーションに対応し、CarbConnect®は医療および研究分野における業務支援・効率化を推進していきます。
CarbConnect®(カーブコネクト):医療・研究向け AI画像解析クラウドプラットフォーム
CarbConnect®(カーブコネクト)は、医療および研究画像の解析と共有を効率化するための最先端のAI駆動クラウドプラットフォームです。リアルタイムのデータ共有、AI画像解析アプリケーションとのシームレスな統合、共同作業のためのコミュニケーションツールを提供します。初期投資は不要で、スマートフォン、タブレット、PCからアクセス可能で、病院、クリニック、研究所などさまざまな環境において柔軟に利用できます。
主な特徴:
・AI/MLによる画像解析:医療および研究画像に特化し、さまざまな検査アプリケーションの自動解析を提供。
・リアルタイムデータ共有:画像やインサイトをチーム間で簡単に共有し、迅速な意思決定を支援。
・複数のアプリとの連携:社内開発およびサードパーティ製の画像解析アプリケーションをサポートし、柔軟性を提供。
・遠隔コラボレーション:遠隔地でも医療専門家や研究者とのコミュニケーションを容易に実現。
利用シーン:
・CarbConnect®(カーブコネクト)は、専門的な画像解析者が不在の施設に最適で、遠隔読影支援や専門家の相談を支援します。セキュアなクラウドベースのプラットフォームは、PC、スマートフォン、タブレットのデバイスと互換性があり、初期投資が不要で、利用量に応じた課金体系です。
・抗菌薬感受性試験や微生物研究など、さまざまなアプリケーションに対応し、CarbConnect®は医療および研究分野における業務支援・効率化を推進していきます。
クラウドベースAI画像解析プラットフォーム (CarbConnect:カーブコネクト)の画像・関連イメージ
ITreviewによるクラウドベースAI画像解析プラットフォーム (CarbConnect:カーブコネクト)紹介
クラウドベースAI画像解析プラットフォーム (CarbConnect:カーブコネクト)とは、カーブジェン株式会社が提供しているその他医療向け製品。レビュー件数は0件のため、現在レビューを募集中です。
クラウドベースAI画像解析プラットフォーム (CarbConnect:カーブコネクト)の満足度、評価について
| バッジ | 満足度 | 大企業 | 中堅企業 | 中小企業 |
|---|---|---|---|---|
| - | - | - | - | - |
| レーダーチャート | 価格 | 使いやすさ | サポート品質 | 導入のしやすさ | 機能への満足度 | 管理のしやすさ |
|---|---|---|---|---|---|---|
|
|
- | - | - | - | - | - |
※ 2025年08月27日時点の集計結果です
- 製品名
- クラウドベースAI画像解析プラットフォーム (CarbConnect:カーブコネクト)
-
- 企業名
- カーブジェン株式会社
-
- 企業Webサイト
- https://carbgem.com/about/
ITreviewに参加しよう!